Detecta quistes en ovarios con ultrasonido

Los quistes en los ovarios son sacos llenos de líquido que se forman en los ovarios de las mujeres. Aunque en la mayoría de los casos son inofensivos, en algunos casos pueden causar dolor y otros síntomas. Por eso, es importante detectarlos a tiempo para poder tratarlos si es necesario. Una de las formas más efectivas de detectar quistes en los ovarios es mediante un ultrasonido. En este artículo, te explicaremos cómo funciona el ultrasonido para detectar quistes en los ovarios, qué puede ayudar a prevenir su aparición y cómo se pueden tratar si es necesario.
¿Qué es un ultrasonido?
Un ultrasonido es una técnica de diagnóstico por imagen que utiliza ondas sonoras de alta frecuencia para crear imágenes de los órganos del cuerpo. El procedimiento es indoloro y no invasivo, y se realiza colocando un dispositivo llamado transductor sobre el abdomen o la pelvis de la paciente. El transductor emite ondas sonoras que penetran en el cuerpo y rebotan en los órganos, creando una imagen en una pantalla de ordenador.
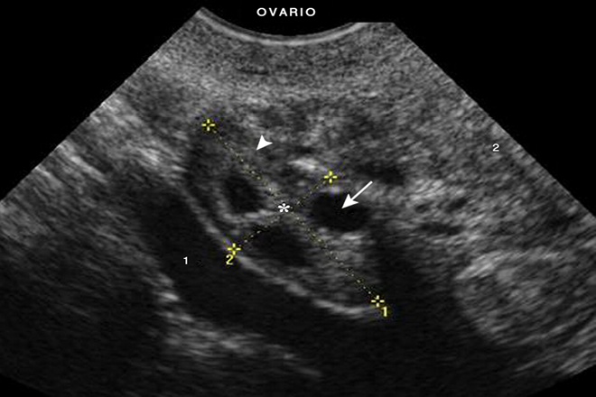
¿Cómo se detectan los quistes en los ovarios con ultrasonido?
Para detectar quistes en los ovarios con ultrasonido, el médico o la técnico de ultrasonido colocará el transductor sobre el abdomen o la pelvis de la paciente. Si se realiza un ultrasonido transabdominal, la paciente deberá tener la vejiga llena para que el sonido se transmita mejor a través del abdomen. Si se realiza un ultrasonido transvaginal, se insertará un transductor especial en la vagina de la paciente.
Una vez que el transductor está en su lugar, el médico o la técnico de ultrasonido buscará quistes en los ovarios. Los quistes aparecerán como sacos llenos de líquido en la imagen de ultrasonido. El médico o la técnico de ultrasonido medirá el tamaño de los quistes y evaluará su apariencia para determinar si son benignos (no cancerosos) o malignos (cancerosos).
¿Cómo se pueden prevenir los quistes en los ovarios?
Aunque no se puede prevenir completamente la aparición de quistes en los ovarios, hay algunas cosas que pueden ayudar a reducir el riesgo de que se formen. Estas son algunas de las medidas que puedes tomar:
- Tomar anticonceptivos orales: Los anticonceptivos orales pueden ayudar a prevenir la ovulación y reducir el riesgo de quistes en los ovarios.
- Mantener un peso saludable: Las mujeres con sobrepeso u obesidad tienen un mayor riesgo de desarrollar quistes en los ovarios.
- Realizar actividad física regularmente: El ejercicio regular puede ayudar a reducir el riesgo de desarrollar quistes en los ovarios.
- Controlar los niveles de estrógeno: El exceso de estrógeno puede aumentar el riesgo de desarrollar quistes en los ovarios. Controlar los niveles de estrógeno puede ayudar a reducir el riesgo.
¿Cómo se tratan los quistes en los ovarios?
En la mayoría de los casos, los quistes en los ovarios no necesitan tratamiento y desaparecen por sí solos. Sin embargo, si los quistes son grandes o causan dolor u otros síntomas, pueden ser necesarios algunos tratamientos. Estos son algunos de los tratamientos que se pueden utilizar:
- Observación: Si los quistes son pequeños y no causan síntomas, el médico puede optar por simplemente observarlos y controlarlos periódicamente.
- Medicamentos: Los medicamentos hormonales, como los anticonceptivos orales, pueden ayudar a reducir el tamaño de los quistes y prevenir su aparición.
- Cirugía: Si los quistes son grandes o cancerosos, puede ser necesario realizar una cirugía. En algunos casos, el médico puede optar por extirpar solo el quiste (cistectomía) o todo el ovario (ooforectomía).
Conclusión
Los quistes en los ovarios son sacos llenos de líquido que se forman en los ovarios de las mujeres. Aunque la mayoría de los quistes son inofensivos, en algunos casos pueden causar dolor y otros síntomas. Detectar los quistes a tiempo es importante para poder tratarlos si es necesario. El ultrasonido es una de las formas más efectivas de detectar quistes en los ovarios, y es un procedimiento indoloro y no invasivo.
Preguntas frecuentes
¿Los quistes en los ovarios son cancerosos?
La mayoría de los quistes en los ovarios son benignos (no cancerosos), pero en algunos casos pueden ser malignos (cancerosos).
¿Los quistes en los ovarios causan infertilidad?
En la mayoría de los casos, los quistes en los ovarios no causan infertilidad. Sin embargo, en algunos casos pueden interferir con la ovulación y afectar la fertilidad.
¿Es necesario tratar todos los quistes en los ovarios?
No todos los quistes en los ovarios necesitan tratamiento. En la mayoría de los casos, los quistes son inofensivos y desaparecen por sí solos.
¿El ultrasonido es doloroso?
No, el ultrasonido es un procedimiento indoloro y no invasivo.
¿Cuánto tiempo tarda el ultrasonido para detectar quistes en los ovarios?
El ultrasonido para detectar quistes en los ovarios suele tardar entre 30 y 60 minutos.

Entradas relacionadas